HomevAbout MAPP-SDvResearchvPhoto GalleriesvNew & Special InterestvContact UsvPrivacy/DisclaimervLinksvResources


 

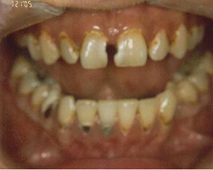
                Meth Mouth Damage

Pictures Courtesy
 USD Dental Hygiene
 

 

Pictures Courtesy
Robert D. Thomas DDS
Savannah, TN

Meth Impact
Meth Mites
Meth Mouth Photos
Progression
Labs Photo Gallery
Children Photo Gallery
Faces of Meth-Static

 

What is Meth?vDrug Endangered ChildrenvParents/TeensvProperty Issues
Personal Safety
vSchools/BusinessesvIndian CountryvMedical/Dental
©
2000 Prairie View Prevention, Inc.